Deciding when to start pointe work is one of the most important and complex choices a ballet teacher can make for a young dancer. This guide explores the physical, technical, and developmental factors that determine pointe readiness — from ankle mobility and toe alignment to strength, stamina, and training history. It also dispels common myths about age and puberty milestones, offering a practical, individualized approach to ensuring that dancers start pointe safely and successfully.
Starting Pointe Work: More Than Just a Rite of Passage
Beginning pointe work is a huge rite of passage for the young dancer. It tells the young student that they are no longer one of the ‘little ones’ – they’ve joined the ranks of the ‘big kids’. Pointe work is often wrapped in romantic notions of the ethereal ballerina, inspiring young dancers who want to emulate the professionals who make everything look effortless.
The reality of pointe is quite different. Pointe work is far harder than it looks and can be dangerous for students whose feet aren’t strong enough, who lack the necessary range of ankle mobility, or who cannot maintain full-body control en pointe. It can also pose risks for the hypermobile student with overly flexible arches and feet, who may also be hyperextended through the knees.
For the responsible teacher, the question, ‘When can I start pointe work?‘ from a dancer is a challenging one to answer. The commonly accepted answer is age 11 to 12, but better questions from the young dancer might be: ‘What kind of dance student am I? Am I a serious student who takes multiple classes per week? What stage of physical and technical development have I reached? Do I have the strength and knowledge to dance on pointe safely?‘
Growth & Development: Why Age Alone Doesn’t Work
Are all students at the same stage of physical development at age 11 or 12? Definitely not. In a class of pre-teens, there will be a wide range of height, weight, and physical maturity that will change rapidly during puberty. Closure of the growth plates in the feet is often cited as the reason for waiting until around age 12, but parents and teachers know that most feet continue to grow well past that age. Bone age does not necessarily match chronological age. Therefore, what factors need to be considered for each student to determine a safe age for pointe work?
The Myth of Menarche as a Readiness Signal
Some teachers will use the onset of menarche as a sign of readiness, but that can be misleading. The thought is that menarche signals the end of growth spurts and closure of growth plates throughout the body. Growth plates can remain active until 18–20. (Interestingly, I often find that dancers develop their full range of flexibility in their late teens and early 20s. Which stands to reason – their skeletal growth has stopped and their muscles have finally had the chance to catch up.)
Menstrual cycles can vary widely. Dancers who develop early may not have the strength to manage pointe, while their less physically mature classmates may have more strength and control. Delayed or irregular cycles may indicate health concerns – including disordered eating or energy imbalance – but they do not define pointe readiness.

Ankle Mobility – Too Little or Too Much?
There are real risks to starting pointe too early that go beyond bone and joint damage – although these are significant risks – that have more to do with lack of range of movement, strength and stability. The student with hypermobile or ‘over-arched’ ankles and feet may initially look lovely on pointe, but will often lack the strength and proprioceptive control (body awareness) needed to do pointe work safely. At the other end of the spectrum, the student with tight ankles and feet may never achieve enough plantar flexion (pointing range of motion) to get up on the block (the top) of the shoe successfully.
Toe Alignment & Strength
Healthy pointe technique starts with proper toe alignment. The foot that looks aesthetically pleasing in slippers may not have the strength and alignment for healthy pointe work! The phalanges (toes) shouldn’t curl or claw when pointing the foot. Most of the pointing action should come from the mid-foot and ankle.
Conditioning exercises – such as pre-pointe training programs – help build the necessary strength so that dancer can support their body weight without curling inside the pointe shoe. This issue is why I predominantly tell students to “Pointe your ankle,” rather than “Pointe your toes.”
Lower Leg Alignment
The metatarsals (mid-foot bones), phalanges (toes), and ankle (talus) must be lined up with the tibia (shinbone) in a straight line without any torsion (twisting), inversion (sickling) or eversion (rolling inward). There is alignment, significant stress placed on the foot, ankle, leg, pelvic girdle and trunk without this alignment. Hypermobile (swayback) knees may need even more ankle flexibility and targeted strengthening exercises outside of class time to limit pushing into overextension of the knee joint.

Strength, Stamina & Conditioning Exercises
Pointe work demands a strong strength-to-weight ratio. It places a significant downward force on the foot and lower leg. The gastrocnemius and the soleus (calf muscles) must have good strength and stamina to be capable of supporting a well-lifted heel on 3/4-pointe for extended periods.
The pre-pointe student should be able to:
- Hold a high 3/4-pointe on two-legged and single-legged balances
- Maintain sound ankle alignment while balancing
- Show strong, quick engagement of alignment and muscular support in relevés
Pre-pointe Training Program
A pre-pointe training program includes more than a designated pre-pointe class. A comprehensive pre-pointe training program includes:
- Sound technical training in the early childhood years, followed by multiple weekly classes as the student matures
- Targeted and individualized foot and ankle strengthening work
- Exercises to address leg and foot structure
- Anatomical education
- Lessons on foot care, and pointe shoe preparation and maintenance
The pre-pointe class can signal to the student that it is time to consider whether pointe is a viable option. It will give them the time to prepare physically as well as mentally for the responsibility of pointe training.
There is no reason to get a young dancer up on full pointe if she cannot do anything when she gets there! – George Balanchine
Pointe Readiness Checklist
Determining pointe readiness depends largely on muscular strength, proprioceptive (body awareness) development, training history, and class frequency. A pointe readiness checklist helps teachers evaluate each dancer individually and make conservative, safe decisions.
Students ready for pointe typically:
- Have good postural control with strong core support
- Show strong, correct alignment through from the toes through the hips
- Maintain consistent self-discipline and class focus
- Have the ability to process corrections diligently
- Show a commitment to serious ballet training (minimum of three classes per week)

Final Thoughts
The decision of when to start pointe work is not based on age. It is based on readiness, and that depends on physical development, training, strength, and focus. Each student should be individually assessed by an experienced teacher to ensure safe progression, and by doing so, they lay the foundation for long-term success.
Thank Yous
To Tirene Padget –
I would like to thank Tirene Padget, The Dance Kinesiologist, for vetting this article. Tirene received her Teacher Training Diploma from the Maritime Conservatory of Performing Arts. She then went on to complete a B.A. in Dance Science and Education at York University and a B.H.K. in Human Kinetics at the University of Ottawa. Her passion for movement and education led her to acquire her Teaching Certification with the Royal Academy of Dance and the Society of Classical Ballet – Vaganova Method. Tirene is also a Kinesiologist and a Certified Personal Trainer (CSEP-CPT).
To Michelle Lehman –
Another thank you goes to dance instructor and occupational therapist Michelle Lehman for her editing input. You can view Michelle’s full bio on the Faculty page of this site. Outside the studio, Michelle is a practicing occupational therapist at Shoreline Therapy and the CEO of the digital-health company, Think Self-Management.
Photo Credits:
Featured – Mollie Oates-Johnson, Mackenzie Tomlin, Vivian Macnab by Leica Hardy
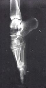
Top – X-ray of a foot on pointe. http://7.159.220.196/diamond_pointe.shtml
Middle – Rebecca Wolfe on demi-pointe by Kate Hayter-Reid
Bottom – Photo of a young teen at her first pointe shoe fitting by Leica Hardy
_________________________
About the Author
Leica Hardy is a nationally respected master dance teacher with over 45 years of experience, known for her inspiring instruction and dedication to excellence in classical ballet and contemporary dance. An Honorary Doctor of Fine Arts and co-author of the Society of Classical Ballet’s 14-level syllabus, she has mentored students who have gone on to study and perform with leading dance institutions and companies across North America. See Leica’s full bio here.
Subscribe
Subscribe to Words To Dance By joining our mailing list. Please use the button in the sidebar to send us a message.
Copyright
All content on this blog is original copyrighted material, unless otherwise stated. Content on Words To Dance By may not be reproduced in any form without written permission from the author. We welcome the use of links to the original posts on this site. Correctly cited and attributed quotes or short excerpts are welcome and appreciated.

